
Algeoppblomstringen gir histopatologiske forandringer på gjellene
PHARMAQ Analytiq har den siste tiden mottatt histologiprøver fra flere oppdrettsanlegg i Nord-Norge som er rammet av den pågående algeoppblomstringen.
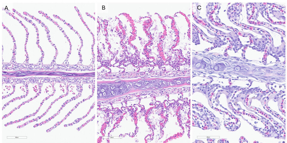
– Mange av prøvene viser tydelige gjelleskader, som kan hemme fiskens evne til å ta opp oksygen, sier Alf Seljenes Dalum, histopatolog hos Pharmaq Analytiq, til Kyst.no.
Han understreker at skader assosiert med alger kan gi akutt dødelighet og ellers svekke fiskens evne til å tåle stress for de individene som overlever.
Algeoppblomstringen har til nå vært svært alvorlig for oppdretterne som har blitt berørt, og har ført til høy dødelighet. Situasjonen skyldes en kombinasjon av våroppblomstring av de skadelige algene Chrysochromulina og Phaeocystis som blir forsterket av lokale strømforhold.
Les også: – Oppdrett starter ikke algeoppblomstringer
Gi bedre beslutningsgrunnlag
For å undersøke betydningen av algeeksponering for fisken, og hvordan velferd hos gjenlevende fisk er i videre produksjon, er histologi et godt verktøy.
– Histopatologi går ut på å undersøke påvirkning eller skader i fiskens vev. Undersøkelsen er derfor svært godt egnet til å vurdere omfang av forandringer forårsaket av skadelige alger, og vil kunne gi et bedre beslutningsgrunnlag for videre håndtering, forklarer Dalum.
Det er viktig å sammenstille histologiresultatene med vannanalyser for plankton tatt ut i nærområdet for å få konklusivt resultater.
