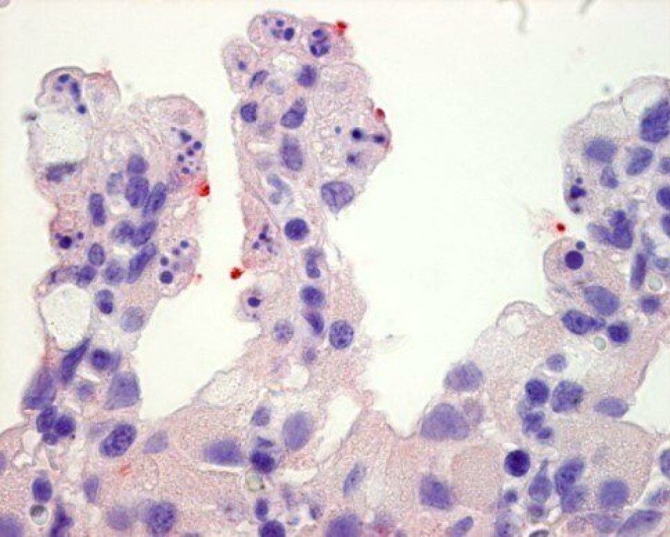
Poxviurs fra gjelle hos laks.Rød merking av poxvirus i syke gjeller

Laks kan bli syk av koppevirus

En spesiell type gjellesykdom på lakseunger har i flere år vært forbundet med høy dødelighet og et dramatisk sykdomsforløp. Et koppevirus er involvert og tilstanden rammer visse ”gjenganger-anlegg”.

Publisert Sist oppdatert

Denne artikkelen er tre år eller eldre.

Pål Mugaas Jensen

Det skriver Veterinærinstituttet i en helt ny spalte kalt "Kunnskap om fiskehelse", som instituttet skal ha ansvaret for i Fagtidlsskrifet Norsk Fiskeoppdrett.

Norsk Fiskeoppdrett kommer på Aqua Nors åpningsdag ut med et 160 sider stor utgave i helt ny design. Her kan du bl.a. lese den nye spalten i sin helhet.

Kopper skyldes et poxvirus og er en av menneskehistoriens alvorligste infeksjons sykdommer som har tatt livet av flere hundre millioner mennesker. Et poxvirus er rapportert som et problem i karpeoppdrett og skaper også problemer i noen norske oppdrettsanlegg.

- I 1995 mottok Veterinærinstituttet prøver fra et settefiskanlegg med høy dødelighet hos laks. Ved mikroskopisk undersøkelse av organer fra fisken, viste det seg at gjellene var hovedproblemet. Cellene som sørger for at fisken kan puste hadde fått en rar fasong og de hadde svulmet opp. Dette kunne forklare hvorfor fisken var så syk. Men hva som var skyld i dette, var uklart, skriver Veterinærinstituttet.

Gjellene ble undersøkt i et elektronmikroskop og et virus ble pekt ut som en mistenkt. I 2008 viste Nylunds gruppe ved Universitetet i Bergen at vi sannsynligvis hadde med et poxvirus å gjøre. Veterinærinstituttet påviste i 2014 en genetisk profil («fingeravtrykk») som var karakteristisk for viruset, og laget en PCR-test som påviser fingeravtrykk fra viruset.

Var viruset den skyldige i gjjelesykdom?

Men selv om man fant poxvirus i gjellene, så var det ikke dokumentert at det var årsak til gjellesykdommen.

Rød merking av poxvirus i syke gjeller.

- Vi ønsket å finne ut om vår mistenkte kunne knyttes til de unormale cellene i gjellene og dermed sannsynliggjøre at viruset var skyldig i ødeleggelsene og for at fisken ikke klarte å puste skikkelig. Metoden vi har utviklet baserer seg på at et antistoff binder seg til et antigen og gir en rød fargereaksjon der viruset er. Vi fikk et fellende bevis. Den mistenkte ble observert på åstedet og vi kan med stor sannsynlighet si at viruset spiller en rolle for utvikling av denne typen gjellesykdom, skriver Veterinærinsitituttet.

Internasjonalt publisert

Resultatene fra dette arbeidet er nylig publisert i Journal of Virology.

- Her har vi gitt noen svar, men de viktigste spørsmålene er ubesvart. Vi trenger å kartlegge hvor utbredt viruset er i oppdrettsnæringen, både i ferskvann og sjøvann, og forstå mer av hvordan viruset opererer i og utenfor verten. I humanmedisinen er andre poxvirus benyttet som bærer av utvalgte gener i forbindelse med bl.a. vaksineutvikling. Kanskje kan ufarlige varianter av viruset brukes som en vaksine mot sykdommer hos laks? Ut fra det vi vet nå, er trolig poxviruset som gir sykdom hos karpe ganske ulikt det som gir sykdom hos laks. Kanskje kan karpepox-viruset brukes som en vaksine mot laksepox på samme måte som kukopper ble brukt som vaksine mot menneskekopper i 1796? Her er forskningsmulighetene mange, skriver Veterinærinstituttet.

Les hele saken skrevet av Mona Gjessing, Torstein Tengs, og Ole Bendik Dale fra Veterinærinstituttet, samt Hans Petter Rønning fra Sisomar AS i Norsk Fiskeoppdrett nr 8.