
Ny analyse for påvisning av Tenacibaculum maritimum
PHARMAQ Analytiq har nå etablert en ny Realtime RT PCR analyse for påvisning av Tenacibaculum maritimum. Det har siste tiden vært flere påvisninger på rognkjeks og laks, men betydningen og utbredelsen er foreløpig ukjent.
Denne artikkelen er tre år eller eldre.
Det finnes mange typer Tenacibaculum og denne bakterien er svært utbredt i saltvann over hele verden. På laks i Norge er Tenacibaculum kjent for å gi sårproblemer, spesielt i nordlige områder. Bakterien er lett gjenkjennelig da den gir et gult belegg spesielt i kanten av sår.
En variant av denne bakterien, Tenacibaculum maritimum, er kjent for å gi små skader på kjeve og ikke hudsår i Canada. Hudsår forårsakes som regel av andre Tenacibaculum arter på laks. Denne arten av Tenacibaculum er påvist hos rognkjeks i Norge, men det er ikke tidligere publisert funn på laks i Norge.
PHARMAQ Analytiq har nå en ny analyse for å skille mellom Tenacibaculum maritimum og andre varianter avTenacibaculum. Det skriver de i en nyhetsmelding.
Assayet er nylig validert og så langt vært brukt i screening av et fåtall anlegg på Vestlandet. Flere av disse anleggene er funnet positive og dette åpner for spørsmålet om dette er noe nytt, eller om det er effekten av at vi nå har en ny metode for påvisning.
Den som leter den finner.
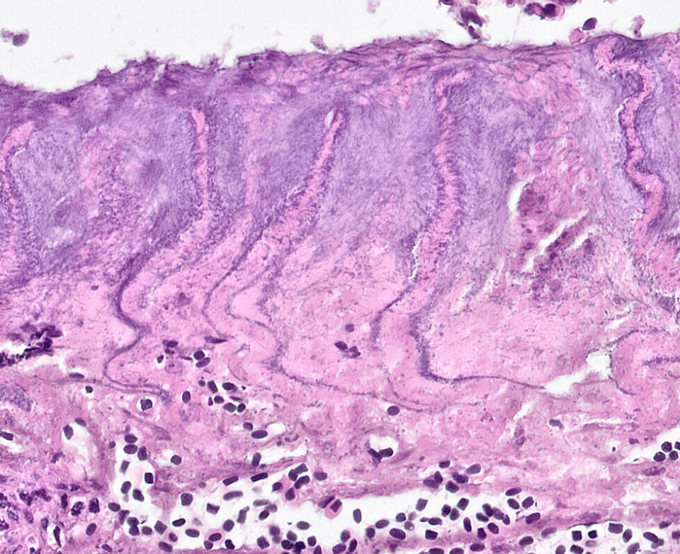
Tenacibaculum maritimum er ingen ny bakterie i Norge, men påvises nå på laks med et annet sykdomsbilde enn tradisjonell sårutvikling. Bakterien angriper først og fremst den ytre delen av gjellefilamentene og kan sees ved at man får et gult belegg på gjellene. Histologisk ser man at gjellene er nedbrutt ytterst på filamentene.
Nærbilde viser de filamentøse tynne trådformige bakteriene i det ødelagte gjellevevet.

Hvor mye bakterier man påviser ved PCR (CT-verdi) avgjøres i veldig stor grad om man tar ut prøvene fra slike områder med sår og gult belegg eller om man tar ut prøver fra andre gjellefilamenter. Histologisk ser man også forandringer i filamenter uten synlig påvisning av bakterien. Denne bakterien har evne til å skille ut enzymer og mulige toksiner som kan ha en påvirkning på hele gjellevevet, og ikke bare der bakterien har fått festet seg. Mye er derfor uklart om betydningen av denne bakterien på gjellehelsen generelt.
Nok et nytt gjelleproblem
Det er mye gjelleproblemer i år og vi påviser store mengder med de vanlige høst-gjelle-agensene som Branchiomonas, Paranucleospora og amøber. Mindre mengder med POX-virus er også vanlig og dette viruset er mistenkt for å kunne gi gjelleskader som skaper inngangsport for bakteriene og parasittene.
Det mangler derfor ikke på gjelleproblemer og Vestlandet er fra før hardt rammet. Det er for tidlig å si om T. maritimum bare er nok et agens som kommer når gjellene allerede er skadet av andre agens eller om den er en primær årsak til gjelleproblemer. Dette er noe PHARMAQ Analytiq nå jobber videre med å avklare sammen med våre kunder. Heldigvis er sjøtemperaturen nå på vei ned, og vi forventer da mindre problemer både med T. maritimum og de andre gjelleagens.