
Viktige funn om gjellehelse hos vill laksefisk
Veterinærinstituttet og Havforskningsinstituttet gjennomfører helseovervåking hos vill laksefisk på oppdrag fra Mattilsynet. Det er nå publisert to nye rapporter fra dette overvåkningsprogrammet.
Denne artikkelen er tre år eller eldre.
I 2020 har Veterinærinstituttet undersøkt gjeller fra vill laks og ørret for et utvalg smittestoff som er knyttet til nedsatt gjellehelse hos oppdrettsfisk.
Lite laksepoxvirus hos villaks i sjø
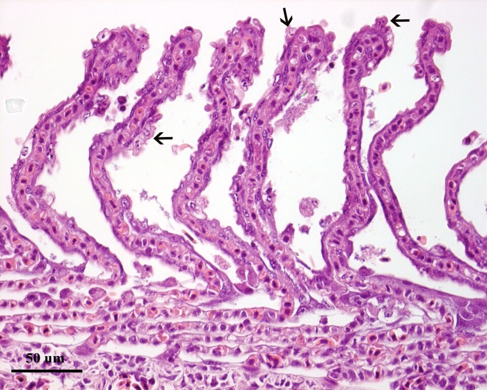
Hos voksen laks i sjø var forekomsten av salmon gill poxvirus lav (4 %) men med ujevn fordeling langs kysten. Sammenfattede data fra perioden 2016-2020 tyder på at forekomsten av SGPV hos laks er lavere i sjø enn i elv og at forekomsten eskalerer (80-90 %) når vill laks oppbevares i kar i forbindelse med kultivering. Bildet viser gjeller fra en vill stamfisk med laksepox. Betydningen av vill laks som smittekilde for oppdrettslaks i sjø vurderes som neglisjerbar, mens muligheten for smitteoverføring fra oppdrettet til vill laks i sjø bør studeres nærmere med sporingsverktøy.
Brunørret i store innsjøer
I 2020 ble brunørret fra de store innsjøene Femunden, Snåsavatnet og Selbusjøen undersøkt.
Atlantic salmon paramyxovirus ble påvist hos en brunørret fra Snåsavatnet. Både Ca. Branchiomonas cysticola og Ca. Piscichlamydia salmonis er allestedsnærværende og ble funnet med varierende, men til dels høy prevalens i ørret fra de store innsjøene.
Den relativt høye forekomsten og mengden smittestoff i enkelte ørret reiser viktige spørsmål. Hvilken innvirkning har disse på gjellehelsen hos villfisk? Vil klimaendring, økt eutrofiering og organisk belastning i ferskvann forringe gjellehelsen til villfisk og påvirke bestander? Overvåking av gjellehelse i ville og oppdrettede fisk vil være viktig i årene som kommer.
Helseovervåking på vill laksefisk
Havforskningsinstituttet og Veterinærinstituttet gjennomfører helseovervåking på vill laksefisk på oppdrag fra Mattilsynet. Programmets har som overordnede mål å undersøke kilder til og forekomst av smittestoff i vill laksefisk, og har spesielt fokus på virus som er vanlig og forårsaker sykdom i oppdrett.
Veterinærinstituttets rapport fra helseovervåking av vill laksefisk.
Havforskningsinstituttet fant ILA virus og PD virus hos utvandrende smolt.