
Ny vaksine kan forhindre HSMB
En ny studie viser gode resultater i kampen mot PRV-sykdom og HSMB hos laks.
Denne artikkelen er tre år eller eldre.
Studien er publiser i «Journal of fish Diseases» og er utført av forskere fra Veterinærhøyskolen (NMBU), Veterinærinstituttet og legemiddelselskapet Pharmaq,
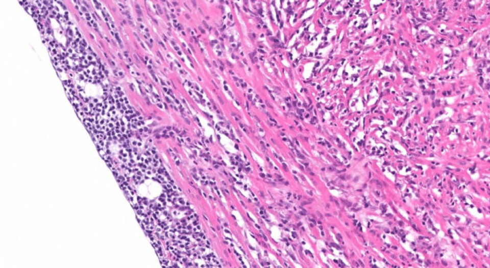
Hjerte- og skjelettmuskelbetennelse forårsaket av infeksjon med PRV er en av de vanligste virussykdommene i oppdrettslaks i Norge.
Det er for tiden ingen vaksine tilgjengelig for beskyttelse mot denne typen betennelse, delvis på grunn av mangel på en cellelinje for effektiv virusdyrking.
Revolusjonerende oppdagelse
Erytrocytter er de primære målcellene for PRV og er en potensiell kilde for isolering av PRV-partikler. I en ny studie ble PRV renset fra infiserte erytrocytter, inaktivert og brukt i et vaksinasjonsforsøk mot HSMB.
PRV-vaksinen reduserte betydelig mengden med PRV-virus og histopatologiske lesjoner som er typiske for HSMB, sammenlignet med den uvaksinerte kontrollgruppen. Dette er den første dokumentasjonen av beskyttende vaksinasjon mot PRV, og lovende for fremtidig kontroll av HSMB i atlantisk laks.