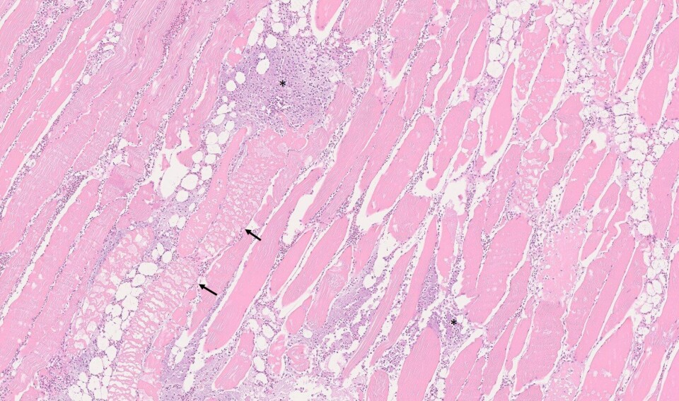
Skjelettmuskel med omfattende betennelse og infiltrasjon av pasteurella-bakterier (stjerne). Fokal degenerasjon av hvit muskel (pil). Foto: Veterinærinstituttet

Urovekkende mye pasteurellose. Nå skal Veterinærinstituttet forske på sykdommen

I 2019 er det en urovekkende økning i antall utbrudd med pasteurellose som fører til alvorlig sykdom hos laks. Med bakgrunn i dette starter Veterinærinstituttet opp et forskningsprosjekt for å undersøke slektskap mellom involverte bakteriestammer av Pasteurella.

Publisert Sist oppdatert

Denne artikkelen er tre år eller eldre.

Pasteurellose har siden 1989 opptrådt sporadisk hos laks. Flere genotyper (DNA) og serotyper (ulike typer mikroorganismer av samme art) av bakterien eksisterer og dødeligheten varierer.

I 2017 ble det rapportert om ekstremt høy dødelighet i forbindelse med et utbrudd av pasteurellose i laks på øya Lewis i Skottland. Antall utbrudd med alvorlig sykdomsbilde har også økt i Norge det siste året.

Diversiteten blant sykdomsfremkallende Pasteurella hos laks i Norge har ikke blitt studert grundig. Mens enkle genetiske sammenligninger klarer å skille den kjente rognkjeks-varianten av Pasteurella fra bakteriestammer tidligere isolert fra laks, har vi identifisert noen få tilfeller det siste året hvor både laks og rognkjeks har blitt infisert med samme Pasteurella-type.

Pasteurellose

Infeksjon med pasteurellose ble først påvist hos laks i Nord-Norge så tidlig som i 1989. 

Pasteurellose har siden opptrådt sporadisk hos laks i både Nord- og Sør-Norge. I tillegg er sykdommen også beskrevet hos laks i Skottland på 1990-tallet og utbrudd forekommer regelmessig i landet.

Veterinærinstituttet har registrert en økning i antall tilfeller siden i fjor. Fra mai 2018 til mai 2019 er pasteurellose påvist på 13 lokaliteter på Vestlandet hos laks på 1,3 -5 kg.

Det kliniske bildet har variert fra syk enkeltfisk til en dødelighet på 150-200 fisk pr. dag. Påvisningene har i en del tilfeller kommet på nærliggende lokaliteter innenfor et kort tidsrom. 

Kilde: Anne Berit Olsen, Hanne Nilsen, Mona Gjessing og Duncan Colquhoun: “Infeksjon med Pasteurella hos laks øker”.

- Veterinærinstituttet skal derfor i løpet av 2020 sekvensere og analysere hele arvestoffet (DNA) i en samling av stammer isolert fra 80-tallet og frem til dags dato. På den måten vil vi kunne belyse om en ny, mer hissige variant av bakterien har blitt introdusert til norsk lakseoppdrett. Vi skal også se om andre forhold har bidratt til økning av tilfeller med denne infeksjonen hos laks den siste tiden, forteller forskerne Hanne Nilsen og Duncan Colquhoun som skal lede prosjektet.

Sekvenseringsprosjektet finansieres i første omgang med interne midler fra Veterinærinstituttet. Det er også behov for eksternt finansiert kunnskap om hvorvidt forskjellige bakteriestammer representerer smittefare for og mellom andre arter av oppdrettsfisk og rensefisk. Resultatene fra prosjektet forventes å være tilgjengelige i andre halvdel av 2020.

Kontaktpersoner for prosjektet:
Hanne Katrine Nilsen, forsker/veterinær
E-post: hanne.nilsen@vetinst.no

Duncan Colquhoun, seniorforsker/ Førsteamanuensis II
E-post: duncan.colquhoun@vetinst.no