
To nye virus påvist på syk rognkjeksyngel – kartlegging av betydning pågår
To nye virus fra klinisk syk rognkjeksyngel er påvist- nå starter arbeidet med å kartlegge utbredelse og betydning av disse, skriver Pharmaq Analytic i et nythetsbrev.
Denne artikkelen er tre år eller eldre.
De understreker samtidig det er for tidlig å si om virusene har en sammenheng med sykdommen.
Sykdomsutfordringer i produksjon av rognkjeks, har i stor grad vært dominert av bakterielle infeksjoner. Blant disse har Aeromonas salmonicida subsp. (atypisk furunkulose), Pasteurella sp., Vibrio anguillarum og Tenacibaculum sp. særlig vært fremtredende. Når det gjelder virus, har kartlegging- og sykdomsovervåkning vist høy prevalens av Lumpfish Flavivirus (LFV/CluV) i alle ledd av produksjon.
- Det siste året har det likevel vært en gradvis reduksjon i antall påvisninger, trolig som en konsekvens av systematisk uttak av positiv fisk tidlig i produksjon. Utover LFV, så har en rekke andre virus blitt påvist sporadisk på villfanget rognkjeks, inkludert VHSV, VNN og et nytt Ranavirus. Selv om prevalens og utbredelse av disse i oppdrettet rognkjeks ikke er godt kartlagt, er den trolig lav og betydningen uavklart, skriver Pharmaq Analytic.
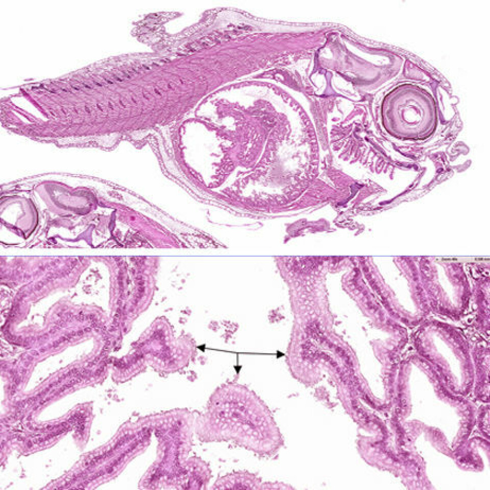
Våren 2018 ble det observert flere tilfeller med forøkt dødelighet på rognkjeksyngel med ukjent årsak. Det kunne ikke observeres ytre tegn til klinikk på yngelen, men histopatologiske undersøkelser indikerte økte mengder væske i mage- og tarm på affiserte individ. Nærmere analyser av syk fisk avdekket tilstedeværelse av to hittil ukjente RNA virus, tilhørende familiene Totiviridae- og Coronaviridae.
Totiviruset foreslått kalt Cyclopterus lumpus Totivirus (CLuTV), er nært beslektet PMCV, som gir CMS på Atlantisk laks. CMS gir betennelse i hjerte og dette har så langt ikke blitt observert på rognkjeks infisert med CLuTV. Betydningen av CluTV er derfor uavklart.
Coronaviruset foreslått kalt Cyclopterus lumpus Coronavirus (CLuCV), er nært beslektet coronavirus fra andre fiskearter, samt enkelte coronavirus fra pattedyr. Hos pattedyr er et vanlig klinisk tegn assosiert med coronavirus infeksjoner, blant annet væskefylt mage- og tarm. Videre undersøkelser er nødvendig for å avklare om CLuCV kan knyttes til diare på rognkjeks.
PHARMAQ Analytiq skriver de nå arbeider systematisk med å kartlegge utbredelse og prevalens av disse virusene i oppdrettet rognkjeks.
- Foreløpige resultat indikerer at begge virusene er å finne langs hele kysten, men utbredelsen av CLuCV er noe lavere enn for CLuTV. Vevstropisme viser at både CLuTV og CLuCV kan påvises i de fleste vev, men med en svak tendens til høyere prevalens i milt, og i tillegg gjelle for CLuTV. Resultatene indikerer også at særlig CLuCV ser ut til å være knyttet til tilfeller med forøkt dødelighet i yngelfasen av produksjon av rognkjeks, og kan muligens ha en vertikal smittevei.
For begge virusene er det et stort behov for videre forskning, kartlegging av smitteveier, og evaluering av eventuell risiko for smitte til andre arter. Det har ikke vært gjort påvisninger av disse virusene i laks, men dette bør avklares ved gjennomføring av kontrollerte smitteforsøk.