Pukkellaksen med ichthyophonose var en gyteklar hunnfisk. Den var apatisk og hadde bleke gjeller men var ellers i godt hold.

Parasitt påvist på pukkellaks for første gang i Norge

Veterinærinstituttet har påvist sykdommen Ichthyophonose hos en pukkellaks fra Lakselva i Porsanger kommune. Dette er første gang parasitten er påvist hos pukkellaks i Norge.

Publisert Sist oppdatert

Denne artikkelen er tre år eller eldre.

Det var representanter fra Lakselv grunneierforening som i august 2021 fanget den syke pukkellaksen. Den hadde enunormal, apatisk oppførsel som skilte seg ut fra andre pukkellaks i elva. Pukkellaksen var en gyteklar hunnfisk med god kondisjon, men hadde bleke gjeller. Den ble avlivet og frosset ned, og senere sendt til Veterinærinstituttet for undersøkelser.

Ved Veterinærinstituttet ble det gjort rutinemessig obduksjon, undersøkelser av vevsprøver i mikroskop (histopatologi), mikrobiologiske (dyrking for bakterier og virus) og molekylærbiologiske undersøkelser. Ved den histologisk undersøkelse ble det funnet sopplignende strukturer i flere organer, men særlig i hjerte og skjelettmuskel. Funnene ga mistanke om sykdommen Ichthyophonose, en diagnose som senere ble bekreftet med molekylærgenetiske metoder.

- Ichthyophonose er så langt vi vet ikke tidligere rapportert fra pukkellaks i Norge sier forsker Toni Erkinharju som oppdaget parasitten i pukkellaksen.

Ichthyophonose

-Ichthyophonose forårsakes av parasitter i slekten Ichthyophonus sp. De fleste funn av parasitter i denne slekten er rapportert under artsnavnet Ichthyophonus hoferi, men det diskuteres om dette er én og samme art eller flere forskjellige arter, og vi rapporterer derfor vårt funn som Ichthyophonus sp.forteller parasittolog og seniorforsker Haakon Hansen.

Arten I. hoferi var tidligere karakterisert som en marin algesopp, men er nå plassert innenfor klassen Mesomycetozoea, en gruppe mikroorganismer mellom sopp og dyr. Parasitten har lav vertsspesifisitet og er beskrevet fra over 100 ulike fiskearter, inklusiv pukkellaks i Stillehavet. Fra norske farvann er I. hoferi mest kjent for å ha forårsake massedød hos sild.

De fleste laksefisk er mottagelige, og parasitten er tidligere påvist hos Atlantisk laks i Russland. Hos for eksempel kongelaks i Yukon River i Alaska erfarte man at forekomsten av parasitten gikk fra null til 45 % i løpet av 10-15 år, med store periodiske svingninger i forekomst. Det antas at kongelaks smittes gjennom byttedyr under vandring i havet.

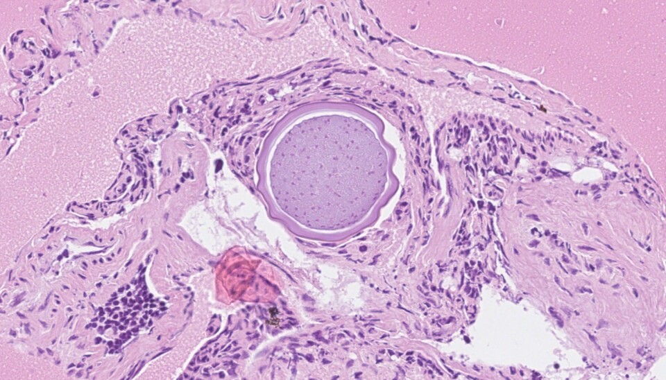
Histologisk vevssnitt av pylorusblindsekk fra pukkellaks med en enkel, dobbeltvegget sopplignende parasittstruktur (forenlig med Ichthyophonus sp.) i tarmveggen.

Smitteveier

Parasittens viktigste smittevei er overføring i næringskjeden, det vil si at for eksempel denne pukkellaksen kan ha blitt infisert ved å spise et smittet byttedyr. Smitte mellom fisk via sporer i vann er likevel vist for enkelte fiskearter og er den smitteveien som fryktes mest fordi parasitten da kan overføres til stedegen vill og oppdrettet fisk. Om dette er et aktuelt forløp vites ikke, men det kan ikke utelukkes.

Ichthyophonus påvirker kjøttkvaliteten

Siden parasitten har en forkjærlighet for aktiv muskulatur er det primært i hjerte- og skjelettmuskulatur den etablerer seg. Infeksjonen kan da gi en vevsreaksjon som er synlig med det blotte øye i form av små hvite knuter. Slike knuter forringer den visuelle kvaliteten til fiskefileten og har blant annet resultert i kassasjon av 20 % av den solgte kongelaksen fraYukon River. Spredning av infeksjonen til stedegen vill og oppdrettet laks kan dermed ha økonomisk betydning. I tillegg kan forekomst hos pukkellaks redusere verdien av denne fisken til konsum.

Meld ifra om syk pukkellaks

All pukkellaks dør etter gyting og vil gradvis svekkes i perioden fra den gyter til den dør. I perioden før gyting er det imidlertid mindre vanlig å observere syk pukkellaks, samtidig vil undersøkelser av slik fisk gi helseovervåking av god kvalitet.

- Vi oppfordrer derfor alle elveeierlag og publikum generelt om å være ekstra årvåken og kontakte oss via syk villfisk portalen når syk pukkellaks observeres før gyting sier Fagansvarlig for villfiskhelse Åse Helen Garseth.

Her kommer du til villfisk portalen: https://svf.vetinst.no/.

Syk villfisk portalen

Ifølge Matloven har alle plikt til å varsle Mattilsynet når det er grunn til mistanke om smittsom dyresykdom som kan ha samfunnsmessige konsekvenser. I 2020 lanserte Veterinærinstituttet i samarbeid med Mattilsynet et nasjonalt meldingssystem for registrering av syk og død villfisk, også kalt «Syk villfisk-portalen». Meldingssystemet inngår i helseovervåkingen av vill fisk, og hovedhensikten er å oppdage alvorlige hendelser som har betydning for fiskehelsen i Norge.