
Ny art Piscirickettsia oppdaget
I forbindelse med utredning av flere tilfeller av piscirickettsiose (SRS) i Irland og Skottland, utført av et team fra PatoGen AS, ble det oppdaget en ny bakterieart som er forskjellig fra den tidligere påviste Piscirickettsia salmonis.
Teksten under er skrevet av Linda R. Teigene, Joakim Brunet, Anita Eriksson, Fredrikke N. Formo, Johanna Baily & Hamish Rodger - PatoGen AS
SRS har blitt en betydelig sykdom innen lakseoppdrett i flere regioner i Irland og Skottland de siste fire til fem årene, i tillegg til flere påvisninger av P. salmonis i Nord-Norge i 2024. Historisk sett har SRS vært en viktig sykdom i Chile, men den har også dukket opp som en sykdomsutfordring i Australia og Vest-Canada.
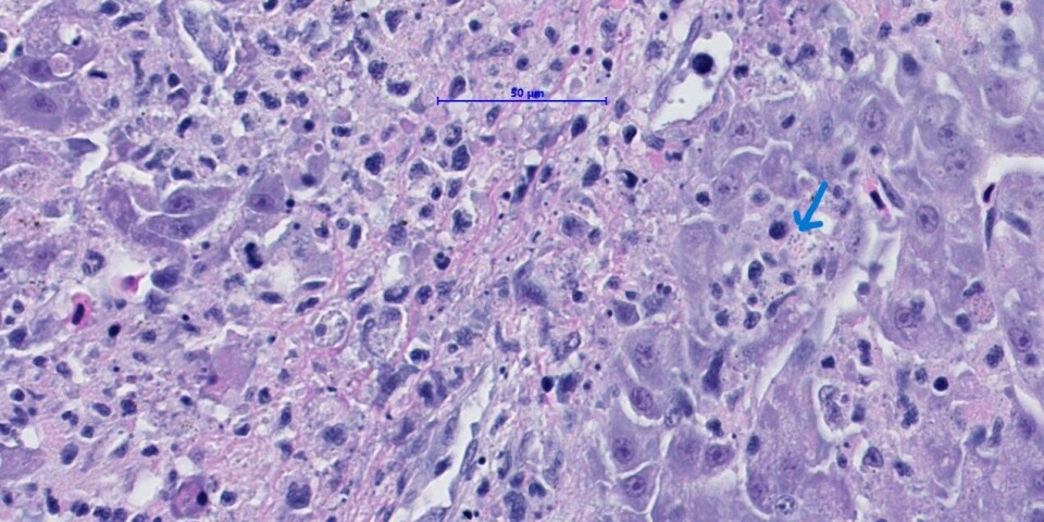
Den nye Piscirickettsia-arten (foreløpig kalt Piscirickettsia nova) er ikke en av genogruppene til P. salmonis, men en egen art. Den har blitt isolert fra laks i Irland og Skottland med kliniske tegn (toppbildet) og histopatologi (bildet under) som samsvarer med det som er beskrevet som SRS.
PatoGen AS har utviklet spesifikke PCR-tester som skiller den nye arten fra P. salmonis, og arbeidet med undersøkelser av epidemiologi, patogenitet og patologi vil fortsette.
Dette er en viktig oppdagelse, da dette gjør oss i stand til å finne best mulige behandlingsalternativer, forbedrede spesifikke vaksiner, undersøke spredning av bakterien og reservoarer. Dette gir mulighet for å kunne forbedre biosikkerheten.
Mer info vil også bli presentert på seminaret “SRS Initiative” ved Atlantic Technological University, Galway, Irland (25. april).
